Servics & FQAs

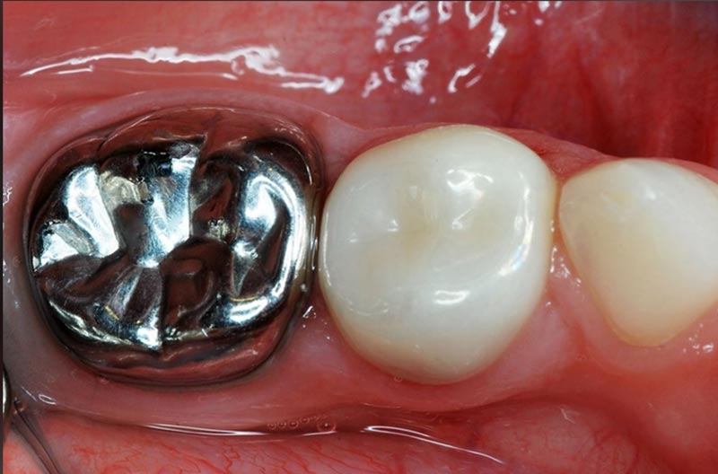
Full-Cast Metal Crowns and Bridges for Posterior Restorations

2026-04-22 0 Leave me a message

Although aesthetically oriented restorations have become increasingly popular, full-cast metal crowns and bridges remain a strong option for posterior restorations in certain clinical situations.

As patients become more aware of esthetic dentistry, the demand for all-ceramic or porcelain-fused-to-metal restorations has risen significantly in many practices. However, despite the growing preference for cosmetically appealing options, full-cast metal restorations are still a better choice in some cases—particularly for posterior teeth. For patients who prioritize durability and long-term protection over perfect esthetics, all-metal restorations offer an excellent solution. Modern dental alloys are engineered to deliver outstanding physical properties, making them suitable for a wide range of clinical needs.

Advantages of Full-Cast Crowns and Bridges

Full-cast metal restorations are highly resistant to fracture, making them ideal for patients with severely damaged posterior teeth. They are also an excellent choice for full-arch fixed bridges. Tooth preparation for a full-cast crown involves all axial walls and the occlusal surface, which provides greater retention compared to more conservative preparations. In cases with furcation involvement, the lingual and buccal contours can be reshaped to facilitate better oral hygiene.

Full-cast crowns fabricated from noble or high-noble metal alloys offer exceptional biocompatibility. They are well tolerated by gingival tissue, rarely cause allergic reactions, resist plaque accumulation, and exhibit excellent corrosion resistance with no fluid absorption. Their high tensile strength allows for a thinner restoration, preserving more of the natural tooth structure. Compared to PFM or all-ceramic crowns, modern dental alloys enable a more conservative preparation—an important advantage in cases with limited interocclusal space.

Despite their strength, full-cast metal crowns and bridges are gentle on opposing dentition. Their coefficient of friction is similar to that of natural enamel, reducing the risk of excessive wear. When wear on opposing teeth is a concern, precious or semiprecious alloys are often preferred, as they combine durability with a softer surface. Additionally, these alloys have a coefficient of thermal expansion comparable to natural teeth.

Disadvantages of Full-Cast Crowns and Bridges

The main drawback of full-cast metal restorations is their appearance. Patients should be informed that if the restoration is placed in the esthetic zone, it will be visible when smiling or laughing. The cost of precious metal and gold crowns can vary significantly with gold market prices. In rare instances, micro-gaps may occur after casting, potentially increasing the risk of recurrent decay; however, high-noble alloys offer enough malleability to allow minor adjustments.

It is essential to rule out metal allergies, especially if a base-metal alloy is being considered. Base-metal alloys often contain nickel, beryllium, or chromium, which may trigger allergic reactions. Finally, the final shade of the restoration—whether yellow or white—depends on the alloy selected, so the patient's preference should be discussed prior to treatment.

Related News
Leave me a message
X
We use cookies to offer you a better browsing experience, analyze site traffic and personalize content. By using this site, you agree to our use of cookies. Privacy Policy
Reject Accept